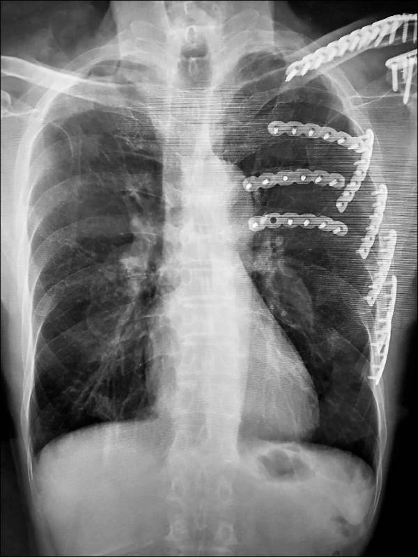
臺中一名70歲陳姓老翁日前遭遇嚴重交通事故,左側第3到第7根肋骨全數斷裂,還出現胸壁挫傷跟血胸狀況,幾乎無法正常呼吸。他被緊急送往國軍臺中總醫院急救,醫療團隊準備為他進行「胸腔鏡輔助肋骨骨折復位矯正鋼板內固定手術」,沒想到術前檢查電腦斷層時,胸腔外科主任謝志明竟在影像中發現更可怕的東西。

圖片來源:unsplash
Advertisements
根據《TVBS新聞網》、《自由時報》報導,謝志明主任仔細分析陳先生的斷層掃描影像,赫然發現他的右下肺葉出現疑似癌癥的病灶。
當時陳先生的交通事故傷勢在住院治療2週後就順利出院,但那塊毛玻璃樣的肺部陰影卻讓醫師相當擔憂。由于肺腺癌被稱作「隱形殺手」,早期幾乎沒有任何癥狀,許多患者發現時往往已經來不及了。

圖片來源:國軍臺中總醫院
3個月後陳先生回診追蹤肋骨復原狀況,謝醫師發現那處病灶依舊存在,立刻安排他接受第2次「胸腔鏡微創手術」將病灶切除。病理化驗結果證實醫師的判斷沒錯,陳先生確實罹患肺腺癌第1期。謝醫師解釋,一般胸部X光很難偵測到1公分以下的微小病變,許多肺癌病患確診時病情已經相當嚴重。

圖片來源:國軍臺中總醫院
所幸陳先生這次意外讓他提早發現癌癥,若能在第1期就確診治療,5年存活率可達9成以上。謝醫師也提醒民眾,低劑量電腦斷層是目前唯一經過實證的早期肺癌篩檢利器,國健署目前針對高風險族群提供每2年1次的免費檢查補助,及早發現才能及早治療,別讓健康拉警報才後悔莫及。


圖片來源:國民健康署 臉書
真是因禍得福,也希望陳先生早日康復~
資料來源:TEEPR亮新聞
