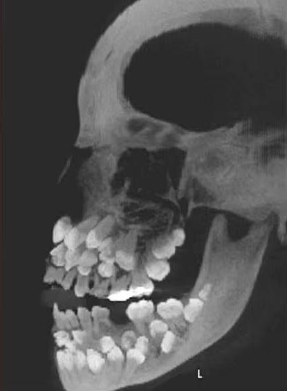
從小養成定期看牙的習慣,不僅可以及早發現問題治療,也能避免後續龐大的修復開銷。一名11歲的巴西女童因乳牙搖搖欲墜,到牙科診所看診,怎料醫生在拍完X光後,發現她嘴裡竟塞了81顆牙齒!

根據媒體《Chosun Biz》的報導,《美國齒顎矯正與顏面矯形學期刊》2011年曾刊登一起罕見病例,巴西一名11歲女童因想拔除一顆上排乳牙就醫,起初牙醫進行口腔檢查時並無異狀,誰知在照完X光後醫生大驚失色,因為女童嘴裡竟藏了18顆乳牙、32顆恆牙,以及31顆多生牙,一張小嘴共擁有多達81顆牙齒。

據了解,一般成人的正常牙齒數量為32顆,額外長出的牙齒被稱為「多生牙」,通常多生牙數量不會超過2顆。但女童足足有超過30顆多生牙,情況實屬罕見,醫療團隊進一步為女童做遺傳檢測,這才發現她第9對染色體中出現「染色體倒位」的異常結構,也就是部分染色體片段呈現反轉,或許就是造成她多生牙爆量的原因。

多生牙有的會深埋在牙齦內,有的外觀也與正常牙齒無異,雖然靠肉眼無法察覺,但很可能會阻礙正常牙齒生長或牙齒排列混亂,甚至引發囊腫等其他併發癥,貿然拔除還可能損傷顎骨。醫療團隊因此集結了牙周、矯正、口腔外科、贋復等專家,為女童訂定長期治療計畫,盼能安全處理這些多出來的牙齒。

人身上有很多器官是損壞後難以修復的,重建過程既辛苦又昂貴,例如牙齒就要好好保護。中國浙江省杭州市一位國中妹妹才13歲,整口牙齒卻爛了大半。醫師檢查後大吃一驚,因為年輕病患的口腔狀況非常嚴重,但病患媽媽卻納悶孩子喝飲料都選「不甜的」,牙齒怎會蛀光光?

文章未完,點擊下一頁繼續